Kieferorthopädisch-
kieferchirurgisches Konzept in Dresden
Moderne Kieferorthopädie für Erwachsene – unauffällig & effektiv
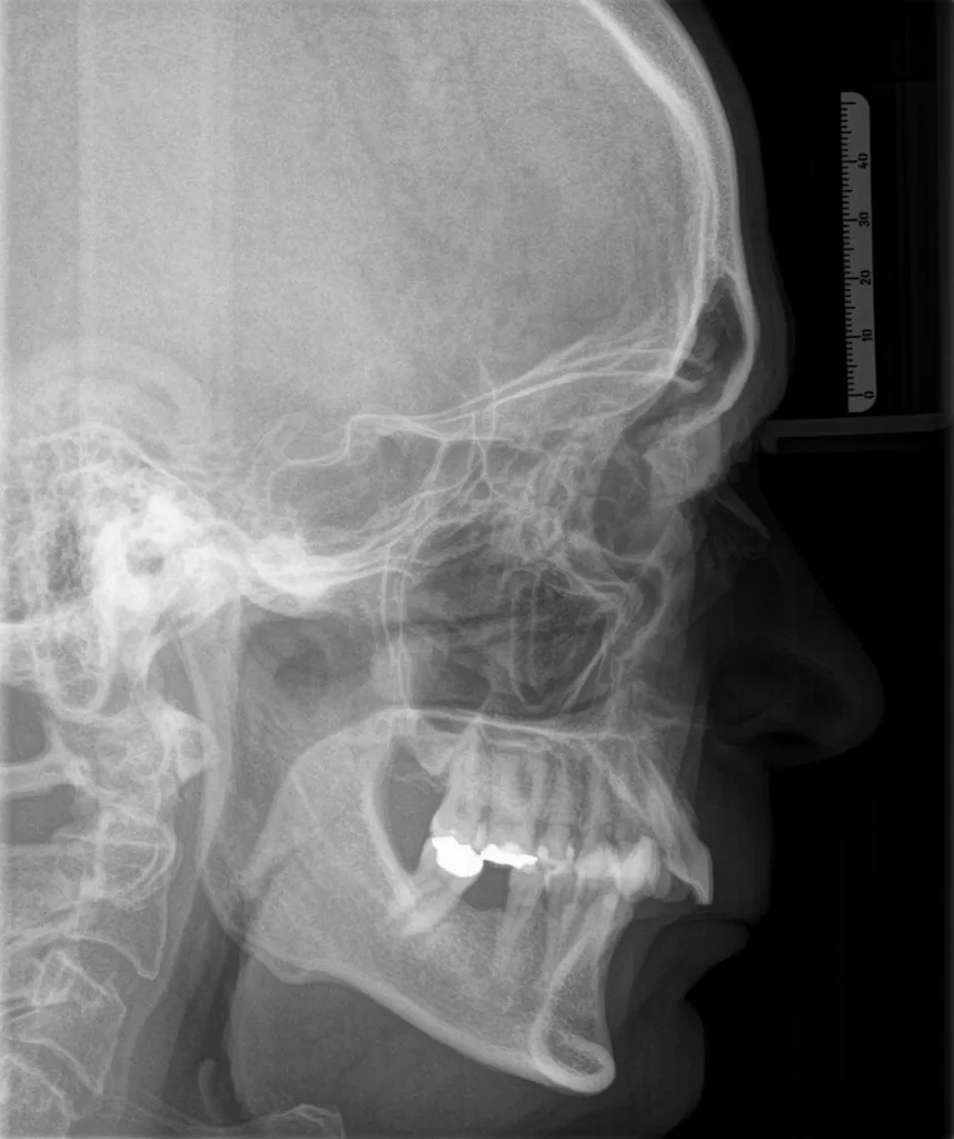
In unserer Praxis ist die kombinierte kieferorthopädisch-kieferchirurgische Behandlung ein zentraler Schwerpunkt. Diese Therapieform eignet sich besonders bei ausgeprägten Kiefer- und Zahnfehlstellungen (Dysgnathien), die nicht nur die Gesichtsästhetik beeinträchtigen, sondern auch funktionelle Einschränkungen wie Probleme beim Kauen, Sprechen oder Atmen verursachen können.


Wann ist eine kombinierte Behandlung sinnvoll?
Wenn Ober- und Unterkiefer unterschiedlich stark entwickelt sind, kann nach abgeschlossenem Wachstum eine kombinierte kieferorthopädisch-kieferchirurgische Behandlung notwendig werden. Dabei wird die Position eines oder beider Kiefer chirurgisch korrigiert, um Funktion und Ästhetik nachhaltig zu verbessern.
Übernahme der Kosten
Bei medizinischer Notwendigkeit im Sinne der KIG Klassifikation übernehmen die gesetzlichen Krankenkassen die Kosten auf wirtschaftlich ausreichender Basis auch nach dem 18. Lebensjahr unter Voraussetzung der Durchführung einer Operation, die die Kieferfehlstellung korrigiert.
Diskrete Zahnkorrektur mit lingualer Zahnspange
Für die kieferorthopädische Vor- und Nachbehandlung verwenden wir festsitzende Zahnspangen, die während und nach der Operation getragen werden müssen.
Für Patienten, die eine unauffällige Lösung bevorzugen, bieten wir die linguale Zahnspange an:
- Sie wird auf der Innenseite der Zähne befestigt und ist von außen nahezu unsichtbar.
- Die lingualen Zahnspange erzielt durch ihre Individualisierung und ihrer lingualen Position eine sehr effiziente Kraftübertragung im Vergleich zur klassischen, festen Zahnspange – dabei ist sie zudem deutlich diskreter.
- Ideal für Beruf, Alltag und besondere Anlässe.
Wenn Sie mehr über die Vorteile, den typischen Behandlungsablauf oder den Komfort einer lingualen Zahnspange erfahren möchten – auf unserer Website finden Sie ausführliche Informationen dazu, die Ihnen die Entscheidung erleichtern.

